Una mujer de California ha desarrollado una condición rara e incurable, llamada pulmón de cobalto, tras vapear solo por seis meses.
Los casos de la “enfermedad rara” que afecta a algunos usuarios de productos de vapeo iban en descenso después de que se encontrase la causa del problema, el acetato de vitamina E. Incluso teníamos un nombre para esta condición: EVALI, trauma pulmonar asociado a los productos de vapeo o e-cigarrillos. Cuando esto ya estaba más o menos aclarado aparece un caso de daño pulmonar causado por metales pesados por el uso de vapeadores, algo totalmente nuevo.
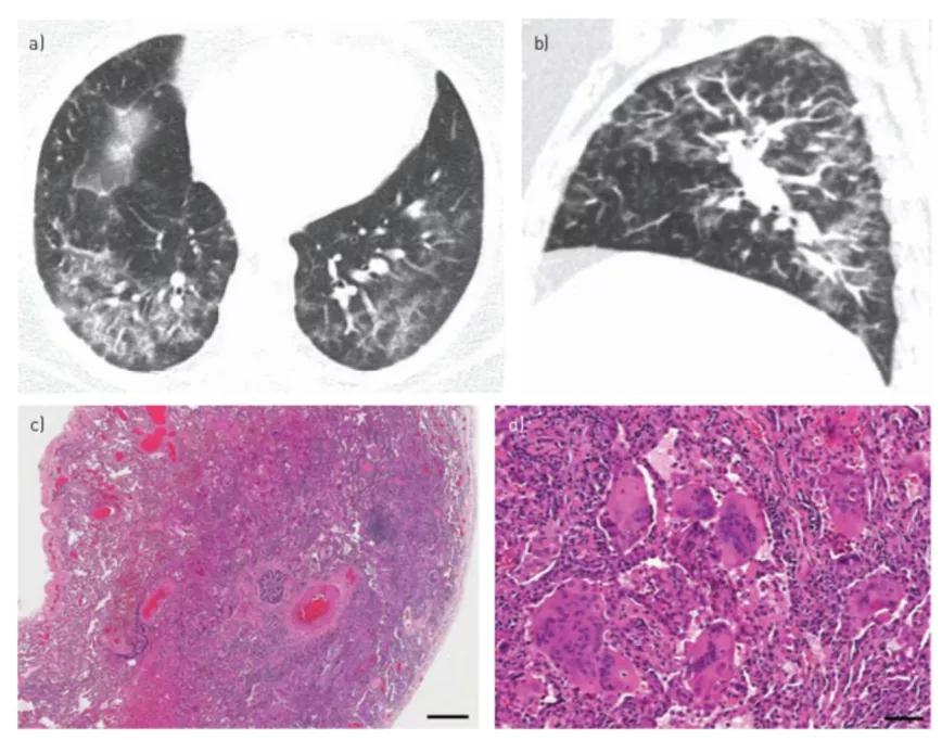
Esta condición fue registrada en la publicación European Respiratory Journal y presenta el caso de una mujer californiana de 49 años cuyos pulmones se han llenado de escamas permanentes y “crujidos”. Los test de laboratorio muestran que la mujer tiene en sus pulmones rastros de plomo, cobalto y aluminio.
“Este es el primer caso conocido de toxicidad en el pulmón producida por metales que ha sido causada por el vapeo. Esto ha resultado en heridas de larga duración, probablemente permanentes, en lo pulmones de la paciente”, asegura el DR. Rupal Shah, coautor del estudio.
Esta nueva condición no casa con lo que se sabe del EVALI. La mujer fue diagnosticada por células gigantes intersticiales de neumonía, que es lo que ocurre cuando células dañadas se tragan a las células sanas que hay alrededor. Esto no es el cuadro clínico de la gente afectada por el acetato de vitamina E.
Por lo general, la gente no suele verse afectada por contaminación de metales pesados a no ser que se trabaje en una mina o algo por el estilo. Esta mujer se dedicaba a pasear perros y no fue al médico hasta que la condición fue irreversible.
Se cree que este episodio no tiene que ver con el EVALI ni con otra investigación en marcha sobre cartuchos ilegales contaminados sino que es algo nuevo. En este se identifica a la marca ZenPen como la responsable. Este vapeador debe liberar vapores de metal cuando se calienta pasándolos al cartucho pues ahí se han encontrado restos de litio, manganeso, aluminio, níquel, cromio y cobalto en niveles bastante elevados.
Desde luego que se están viviendo malos tiempos para la venta de vapeadores.